Sau 4 năm trải qua ca đại phẫu cắt gan và tạo hình tĩnh mạch cửa phức tạp, nam bệnh nhân 64 tuổi từng cận kề cửa tử nay đã hồi sinh kỳ diệu. Bệnh nhân không chỉ phục hồi sức khỏe hoàn toàn, mà còn khiến các bác sĩ bất ngờ khi không còn bất cứ dấu hiệu nào của khối u.
Từ án tử cận kề đến hy vọng hồi sinh
Cách đây 4 năm, ông N.T.Đ (64 tuổi) đối mặt với cú sốc lớn khi được chẩn đoán mắc ung thư biểu mô tế bào gan (HCC) giai đoạn muộn (ung thư phổ biến ở gan) . Khối u lớn ở gan phải không chỉ phát triển trên nền viêm gan B và xơ gan mà còn biến chứng nặng khi xuất hiện cục máu đông (huyết khối) làm tắc nghẽn các mạch máu chính nuôi gan.
Tại thời điểm đó, tình trạng của ông Đ. được đánh giá là cực kỳ nghiêm trọng, tiên lượng thời gian sống chỉ còn tính bằng tháng. Bệnh nhân sau đó được chuyển tuyến đến Bệnh viện Hữu nghị Việt Đức trong niềm hy vọng cuối cùng của gia đình.
Chiến lược phẫu thuật và kỹ thuật tái tạo mạch máu phức tạp
TS.BS Cao Mạnh Thấu – Phó Trưởng khoa Ung bướu & Xạ trị, Bệnh viện Hữu nghị Việt Đức cho biết việc đánh giá toàn diện đóng vai trò then chốt trước khi chỉ định phẫu thuật. Các bác sĩ phải kiểm tra kỹ lưỡng toàn trạng sức khoẻ, chức năng gan và loại trừ các dấu hiệu di căn xa. Việc tìm hiểu các bất thường về giải phẫu cũng được thực hiện nghiêm ngặt để xây dựng phương án can thiệp chính xác.

TS.BS Cao Mạnh Thấu – Phó Trưởng khoa Ung bướu & Xạ trị, Bệnh viện Hữu nghị Việt Đức trao đổi với bệnh nhân về ca phẫu thuật. Ảnh: BV
Sau quá trình cân nhắc kỹ lưỡng, bệnh nhân được hội chẩn đa chuyên khoa ( thuộc lĩnh vực ung bướu, xạ trị, chẩn đoán hình ảnh, gây mê hồi sức, ngoại khoa, dinh dưỡng và dược lâm sàng). Dựa trên sự đồng thuận chuyên môn và quyết tâm của gia đình cũng như người bệnh, các bác sĩ quyết định thực hiện ca đại phẫu. Phương án được lựa chọn là phẫu thuật cắt gan phải, cắt một phần hạ phân thùy 1 (S1R, S1C) và cắt túi mật. Bên cạnh đó, các phẫu thuật viên tiến hành nạo vét hạch cuống gan và loại bỏ các khối máu đông đang làm tắc nghẽn đường dẫn máu chính vào gan. Thao tác này giúp dòng máu được lưu thông từ thân mạch chính sang nhánh bên trái để nuôi dưỡng phần gan lành còn lại.
Theo TS.BS Cao Mạnh Thấu, đây là một kỹ thuật phức tạp, đòi hỏi kinh nghiệm chuyên môn cao. Trong quá trình mổ, phẫu thuật viên hạn chế tối đa việc động chạm vào khối u gan phải nhằm ngăn chặn các cục máu đông trôi sang làm tắc nghẽn phần gan khỏe mạnh bên trái. Việc làm chủ và kiểm soát các mạch máu dẫn vào gan là yếu tố quyết định sự thành công của toàn bộ ca đại phẫu.
Đặc biệt, ekip đã sử dụng thiết bị y tế chuyên dụng (bóng Fogarty) để lấy toàn bộ huyết khối ra khỏi lòng mạch máu, sau đó tạo hình và nối lại thành công các mạch máu quan trọng nuôi gan. Quá trình hậu phẫu diễn biến thuận lợi khi chức năng gan trái của bệnh nhân được đảm bảo và lưu lượng máu nuôi gan nhanh chóng trở lại bình thường.
Hiệu quả từ chiến lược điều trị phối hợp
Thành công của ca bệnh này không chỉ đến từ kỹ thuật phẫu thuật đơn thuần. Các chuyên gia y tế khẳng định việc phối hợp nhiều phương pháp điều trị đóng vai trò then chốt trong quá trình hồi phục của bệnh nhân. Cụ thể, ông Đ. đã được áp dụng phác đồ điều trị đa mô thức hiện đại bao gồm: can thiệp phẫu thuật, truyền hóa chất động mạch gan sau mổ và kết hợp điều trị toàn thân.

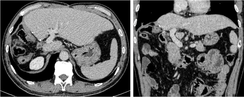
Hình ảnh chụp cắt lớp vi tính sau phẫu thuật 4 năm. Bệnh nhân gan trái tốt, tĩnh mạch cửa thông thoáng, không có tái phát tại gan và di căn xa. Ảnh: BV
Chiến lược này nhằm mục tiêu đạt hiệu quả cao nhất và bảo đảm an toàn cho người bệnh. Sau 4 năm tái khám, các kết quả kiểm tra xác định bệnh nhân không có khối u tái phát. Chức năng phần gan còn lại của ông Đ. đang hoạt động rất tốt và các bác sĩ cũng không tìm thấy bất kỳ dấu hiệu di căn xa nào trên cơ thể bệnh nhân.
Cảnh báo về nguy cơ tiềm ẩn của “u lành tính”
Trên thực tế, phần lớn bệnh nhân ung thư gan kèm huyết khối tĩnh mạch cửa chủ yếu được chỉ định điều trị giảm nhẹ. Tuy nhiên, ca bệnh này cho thấy cơ hội sống sót đáng kể nếu bệnh nhân được can thiệp kịp thời tại các cơ sở chuyên khoa sâu.
Các chuyên gia Bệnh viện Hữu nghị Việt Đức khuyến cáo người dân không nên chủ quan với các tổn thương tại gan vì nhiều trường hợp khối u ban đầu thường được nhận định là u lành tính. Tuy nhiên, đối với người bệnh viêm gan B mạn tính, sự xuất hiện của khối u cần được theo dõi và đánh giá kỹ lưỡng tại các cơ sở y tế chuyên khoa sâu về gan mật. Việc đánh giá thận trọng và tầm soát định kỳ sẽ giúp người bệnh tránh bỏ lỡ thời điểm can thiệp vàng, ngay cả khi bệnh đã ở giai đoạn phức tạp.